I’m Injured! Learning to Manage Injury – Part 1
This article explains how to manage injury from a first-hand perspective!
The sole aim of this blog is to help you improve your health, fitness and nutritional approach. Where possible I try to give you strategies to avoid pitfalls and make healthy living as easy as it can be.
Sometimes, however, life places a pretty huge obstacle in the way. In my life, Saturday was one such day!
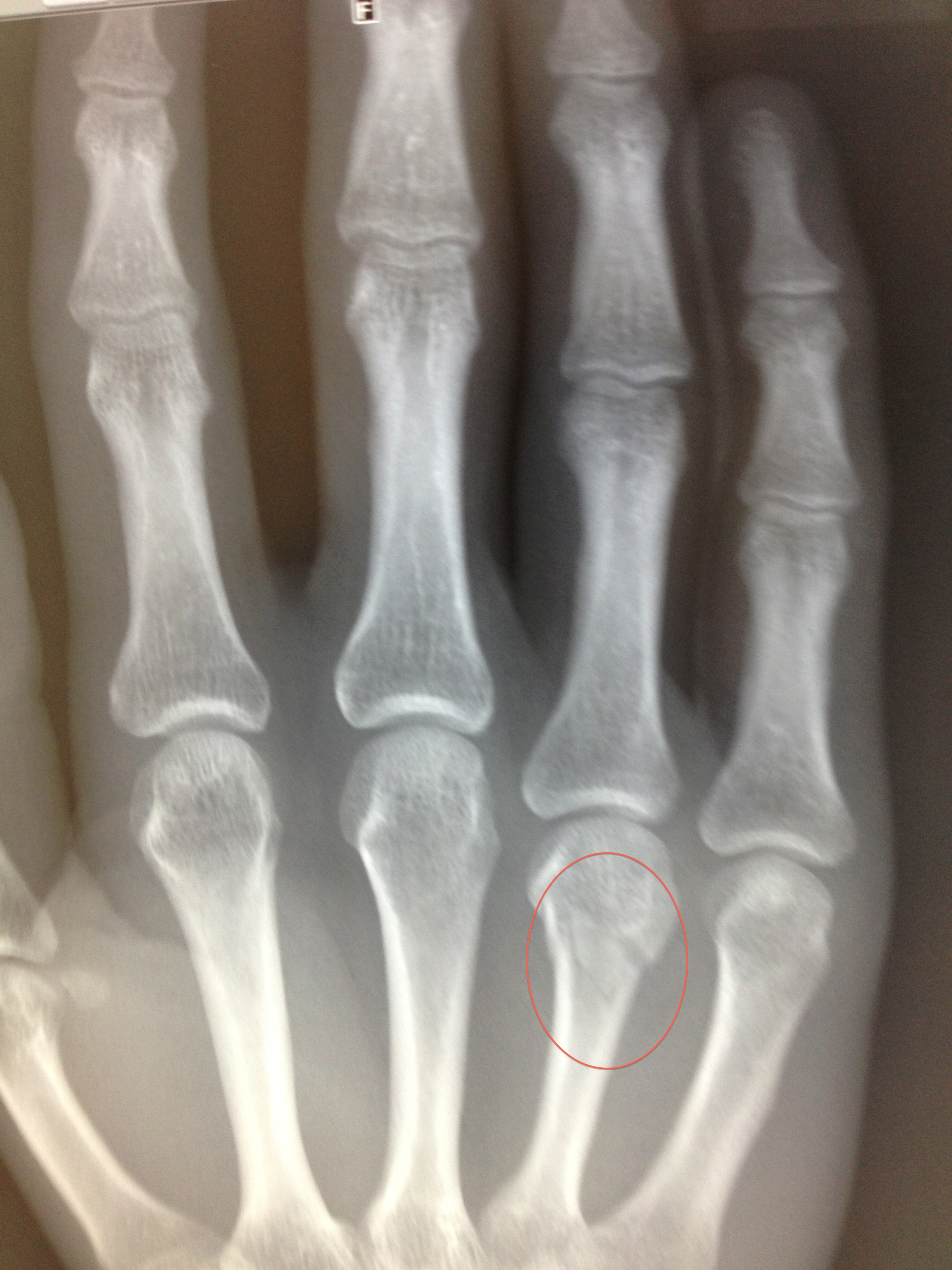
Walking down the stairs in my house, I slipped on a step and landed on my fist, breaking the 4th metacarpal (bone in the hand). As I landed I felt and heard a crack. A quick inspection of the hand revealed the knuckle of my ring finger on my right hand had disappeared – it was totally flat!
Luckily, my girlfriend is a physiotherapist with some experience of hand injuries. I quickly called her and she came home. The original diagnosis without an x-ray was probable break, possible dislocation.
An X-ray at the hospital confirmed a cracked bone, but luckily there was no displacement which means the bone should heal just fine with minimal help. The care for the injury involves buddy strapping the ring and little finger on my right hand and trying not to aggravate the injury for the first 72 hours. On top of that I have to ice the injury and keep the hand as immobile as possible to prevent it moving and causing pain!
My research around the injury has said the typical healing time is 8-12 weeks, which sucks really, given it will seriously affect the training I can do – at the moment anything involving a grip is impossible.
The doctor who examined the x-rays said that it will take at least 6-8 weeks for the bone to heal, but I will probably experience pain in the injury for a good few weeks afterwards. Hopefully on the pain front, he is wrong! In the meantime, I have to keep the ring and little fingers buddy strapped to prevent aggravation of the injury.
This is a fantastic opportunity for me to explore how to manage injury.
The good news however is that the prognosis is great – the injury typically heals fully and the only issue is maintaining range of movement, but that is usually helped by physiotherapy and in particular a series of ‘tendon gliding’ exercises. My understanding is that during the healing process lots of the scar tissue can bind the tendons to the bones, reducing their effectiveness and shortening the range of movement in the fingers.
It is my hope that I can return to full fitness sooner than the usual 8-12 weeks. I have consulted Noel Jensen regarding nutritional strategies to improve bone healing, and he has advised Zinc, Copper, Calcium, Phosphorus, Silicon, Vitamin D and Omega 3’s. On top of that I am icing the the injury and preventing movement where possible in the first 72 hours. Whether or not this is the how to manage injury effectively, only time will tell.
I have also had a Bowen Technique treatment purely by chance after a meeting with Hilary Farrer, a physiotherapist and Bowen technique practitioner in Stockport. The treatment is aiming to address the swelling.
As you can see from the image above, the swelling is significant. Usually my hands are pretty vascular, but a combination of the swelling and icing has put paid to that! We are now two days post-break and the swelling is still there, but reduced slightly from the level shown above.
So where does this leave me?
First of all, for the foreseeable future, my training methods have to be altered. Anything involving a grip is out. In fact, anything involving upper body work is out – as it stands I can’t put any weight on the hand without pain, so push ups are gone for now. On the plus side though, it gives me an ideal excuse to focus on my squatting and general leg work.
On top of the lower body exercise, I also have a chance to do lots of core-specific work, which is something I haven’t done for years. I typically let my compound movements look after my core strength. Furthermore, I can put a lot of effort into my prehabilitation by focusing on flexibility and stretching.
Finally, one of my new years resolutions is to ride my bike every week. Luckily the position of the break means I can still grip my handle bars, so I can get out and into the hills, giving me extra work I can do!
I am hoping that the creativity I will have to use in order to put together effective workouts for my injured self will turn me into a better trainer, developing new exercises and re-discovering old ones! It will also teach me how to manage injury in clients.
So, the lesson is this – don’t let injury stop your health improvement plans. If you are injured, look at what you CAN do rather than what you CAN’T do. This simple re-framing of the problem can prevent you from going down a bad path filled with cakes, biscuits and burgers!
I will be blogging more about my rehab journey, so check back to find out what I have learned and how you can learn to look after your own injuries.
Update! I used an approach that I put together having had suggestions from various specialists, and believe I learnt how to manage injury in a proactive way!
Read about the approach I took and how it worked here…Recovering from Injury.





One thought on “I’m Injured! Learning to Manage Injury – Part 1”